Blogs

Medical Conditions Linked to Bad Breath (Halitosis): What You Need to Know
What is Bad Breath (Halitosis)? Bad breath, also called halitosis, is a common problem. Many people worry about how their breath smells. In fact, studies

The Benefits of Regular Dental Check-Ups: How Routine Visits Keep Your Teeth Healthy
What Are Regular Dental Check-Ups? Regular dental check-ups are visits to your dentist every few months. During these visits, your dentist checks your teeth and

Root Canal Treatment: Advantages and Why It Is Recommended
What Is a Root Canal Procedure? A root canal procedure is a dental treatment that saves a damaged or infected tooth. During this process, the

Why Invisible Braces Are Changing the Way We Straighten Teeth
Introduction Invisible braces are changing the way people straighten their teeth. Today, many choose clear aligners as a modern orthodontic solution. These braces are almost

How Root Canal Treatment Works: A Step-by-Step Guide to the Procedure
Introduction Root canal treatment is a dental procedure that removes infection from inside a tooth. This treatment can save your tooth and relieve pain. Many

How to Recognize and Treat Bruxism: Solutions for Teeth Grinding
What is Bruxism? Bruxism is the medical term for teeth grinding or jaw clenching. Many people do this while they sleep, but it can also

Teeth Cleaning: Importance, Procedure, Benefits, and Aftercare
What is Teeth Cleaning? Teeth cleaning is a simple way to keep your mouth healthy. It means removing plaque, tartar, and stains from your teeth.

What Are Dental Braces? A Comprehensive Guide to Correcting Your Smile
What Are Dental Braces? Dental braces are special devices that help straighten teeth. They use gentle pressure to move teeth into better positions. Often, dentists

What Are Periodontal Diseases? Causes, Symptoms, and Progression
What are Periodontal Diseases? (Definition and Overview) Periodontal diseases, also called gum diseases, affect the tissues that support your teeth. These tissues include your gums

Everything You Need to Know About Laser Gum Depigmentation Treatment
Introduction Laser depigmentation of gums is a safe dental procedure that lightens dark or uneven gum color. Many people choose this treatment to improve their

“Perfect Smile with Smile Designing: Latest Techniques in Modern Dentistry”
What is Smile Designing? Smile designing is a modern dentistry approach that helps people get their perfect smile. Dentists use cosmetic dental procedures to improve

“Types of Dental Crowns: A Complete Guide to Choosing the Right One for Your Smile”
What Are Dental Crowns? Dental crowns are custom-made caps that cover a damaged or weak tooth. They help restore the tooth’s shape, size, and strength.

Dental Crowns: Everything You Need to Know About the Benefits, Procedure, and Aftercare”
What Are Dental Crowns? Dental crowns are tooth-shaped caps placed over damaged or weak teeth. They help restore the tooth’s shape, size, and strength. Often,

“The Advantages of Root Canal Treatment: Why It’s the Best Option for Saving Your Tooth”
Introduction A root canal is a dental treatment that saves a tooth when it is badly infected or decayed. The main purpose of a root

“Can an Infected Tooth Heal on Its Own? Why Root Canal Treatment is Essential for Saving Your Tooth”
Introduction Many people wonder if an infected tooth can heal on its own. Root canal treatment is a common dental infection treatment that helps save

Why a Smile Makeover Is More Than Just Cosmetic Dentistry
What Is a Smile Makeover? A smile makeover is a set of cosmetic dental procedures designed to improve your smile. Many people want a brighter,

The Importance of Professional Dental Cleanings: Why You Shouldn’t Skip Your Appointment
Introduction: What Are Dental Cleanings and Why Are They Important? Regular dental cleanings are professional cleanings done by a dentist or dental hygienist. These cleanings

What Are Dental Fillings? How They Protect Your Teeth from Tooth Decay
What Are Dental Fillings? Dental fillings are special materials that dentists use to repair teeth. When a tooth has a cavity, a filling helps restore

Myths and Facts on TMJ
Myth 1: TMJ only affects older adults. Fact: TMJ can affect individuals of all ages, including children, teenagers, and adults. Age is not a determining

Zirconia Crowns vs. Traditional Crowns: Which One is Right for You?
When it comes to fixing your teeth, picking the right crown material can make a big difference in how your smile looks and works. Zirconia

Understanding Wisdom Tooth Extraction: Procedure, Recovery, and Care
Wisdom tooth extraction, a common dental procedure many individuals undergo to alleviate pain, prevent complications, and maintain oral health. These third molars, also known as

Understanding the Benefits of Root Canal Treatment
When dental issues escalate and become severe, root canal treatment often gets recommended. This dental procedure, while initially daunting to some, offers significant benefits. In

Clearing the Way to a Perfect Smile: The Magic of Invisible Aligners
Invisible aligners are a series of tight-fitting, custom-made mouthpieces that slip over the teeth. Made of clear plastic, they’re nearly invisible, offering a discreet alternative

Zirconia Crowns: The Modern Solution for Strong, Natural-Looking Teeth
When it comes to dental crowns, zirconia crowns are making waves for their impressive strength and natural appearance. But what exactly are they, and why

What to know About Root Canal Treatment?
A dental procedure to repair and save a tooth that is infected or badly decayed. During a root canal procedure, the dentist removes the infected

A Guide on Fractured Tooth or Cracked Tooth Syndrome
A cracked tooth, also called Fractured tooth, is when you find a crack in your tooth. It may be small and harmless, but it can

Frequently Asked Questions (FAQs) on TMJ
Q1: What is TMJ? A1: Temporomandibular joint (TMJ) is the joint that connects your jawbone to your skull. TMJ can also refer to temporomandibular joint

Understanding Dental Caries: What Are the Causes and Symptoms?
Dental caries, commonly known as cavities or tooth decay, are one of the most prevalent dental issues worldwide. Almost everyone experiences a dental cavity at

Invisible Aligners: How They Can Boost Your Confidence
Orthodontic treatment has long been associated with metal braces, which can sometimes feel uncomfortable or affect your appearance. However, with the advent of invisible aligners,

Discover the Different Types of Dental Crowns: A Complete Guide
Welcome to an insightful exploration of dental crowns! Whether you’re considering ways to enhance your smile or restore the function of your teeth, understanding the

Dental Implants vs Dentures: Which is Right for You?
Tooth loss can be unsettling. It can affect your ability to eat, speak, and even smile confidently. Your oral health is essential for your overall

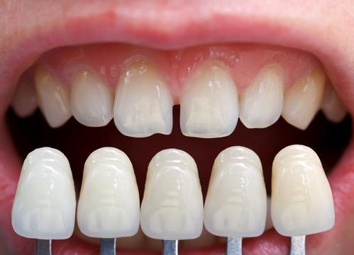
Introduction to Veneers
Dental veneers are a fantastic way to transform your smile. They are especially great for people with cracked, chipped, or discolored teeth. Veneers provide a

Why is Fluoride Treatment Essential for Oral Health: Key Benefits Explained
Fluoride plays a crucial role in maintaining oral health, serving as a shield against cavities and tooth decay. In India, dental issues are on the

10 Hidden Causes of Gum Swelling and Solve Them
Introduction: Why Gum Health Matters for Everyone Gum health is an essential part of overall well-being. Understanding gum swelling and its effects is important for

Gum Contouring 101: A Beginner’s Guide to a Perfect Smile
Gum contouring can be the first step towards the smile you’ve always desired. It simplifies enhancing your smile by reshaping your gums for a more

How Often Should You Get a Regular Dental Cleaning? Find Out Here!
Keeping your teeth clean is essential for a healthy mouth. But how often should you get a regular dental cleaning? This is a common question

Why is Fluoride Treatment Essential for Oral Health: Key Benefits Explained
Fluoride plays a crucial role in maintaining oral health, serving as a shield against cavities and tooth decay. In India, dental issues are on the

Introduction to Veneers
Understanding Dental Veneers Veneers are thin, custom-made shells designed to cover the front side of teeth. They are primarily made from either porcelain or a

Everything You Need to Know About Dental Crowns: Types, Procedures, and Costs
Understanding Dental Crowns: An Overview Dental crowns are caps placed over teeth. Primarily, they restore a tooth’s shape, size, and strength. Think of them as

Discover the Different Types of Dental Crowns: A Complete Guide
Introduction: The Importance of Dental Crowns Dental crowns, often known as caps, are critical fixtures in dental care. These caps are designed to encase the

A Guide to Teeth Bleaching: What You Need to Know
Teeth bleaching, commonly known as teeth whitening, is one of the most popular cosmetic dental treatments available today. It’s a quick and effective way to

All About Dentures
Why are Dentures Used? Dentures are used to replace missing teeth and restore your smile and ability to eat and speak properly. They provide support

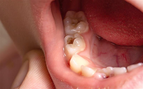
Your Guide to Understanding and Preventing Dental Caries
Dental caries, commonly known as tooth decay or cavities, is a widespread issue that affects people of all ages. It’s not just about an occasional

All About Tooth Decays or Dental Cavities (Dental Caries)
Dental Caries is an infectious disease caused by microorganisms or bacteria which destroy the tooth structure leading to holes in the teeth. Dental caries, also

What are Dental Bridges?
Dental bridges are a type of dental restoration used to replace one or more missing teeth. They are typically made up of one or more

Dental Caries: Prevention and Management Strategies
Dental caries, commonly known as tooth decay or cavities, is a prevalent oral health issue affecting people of all ages. It occurs when bacteria in

Exploring Dental Veneers: A Comprehensive Guide to Enhancing Your Smile
Dental veneers are a transformative solution that can help you achieve the smile you’ve always dreamed of. This comprehensive guide explores the ins and outs

The Essential Guide to Teeth Cleaning: Achieving Optimal Oral Health
Maintaining proper oral hygiene is vital for overall well-being, and a key component of this is regular teeth cleaning. This article delves into the importance

Dental Crowns: Everything You Need to Know
A dental crown is a tooth-shaped cap that is placed over a damaged or decayed tooth to restore its shape, size, and strength. It is

A Patient’s Guide to Straightening Teeth with Clear Aligners
Invisible aligners are a type of orthodontic treatment used to teeth straightening. They are a series of clear, removable aligners custom-made to fit your teeth.

Metal Braces: A Comprehensive Guide to Straighten Your Smile
Metal braces are a tried-and-true orthodontic treatment option that has been used for decades to correct misaligned teeth and achieve a straighter smile. They consist

Know About Periodontal Diseases (Gum Diseases)
Gum or periodontal disease is an inflammatory condition affecting the gums and bone surrounding your teeth. If left untreated, it can destroy your gum tissue

Smile with Confidence: The Benefits of Dentures
Dentures are a popular and effective solution for people who have lost their natural teeth. They are removable prosthetic devices that are designed to replace

Dental Implants: What to Know?
Dental implants are artificial tooth roots that are used to replace missing teeth. They are typically made of titanium or another biocompatible material that can

The Art of Periodontal Plastic Surgery
Are you unhappy with your smile? Do you have concerns about your gum health or the aesthetics of your teeth? If so, periodontal plastic surgery

Understanding Mandibular Fractures: Causes, Treatment, and Prevention
Mandibular fractures, commonly known as jaw fractures, can result from various factors and have significant implications for one’s oral health and overall well-being. It is

Digital Smile Designing: Can It Help You Achieve a Healthier Smile?
Yes! Digital Smile Designing (DSD) is a cosmetic procedure in which dentists design and change a patient’s smile digitally before the treatment starts. This technology